CAD - How to create an unperforated Custom tray in Partial Module
CAD - How to create a Custom tray unperforated in Bite Splint Design
Content by: Guillaume Ferrenbach
Approved by: Cecile Peyrot
Last Update: 22/03/2022
In DWOS or CARES, you can create a custom tray unperforated in "Bite Splint Design", please follow these steps to make a custom tray in our digital software.
1- In "Order Creation", create a "Partial Order", complete the order and select "Route Order" to go to "Scan Import" or select "Route and Follow" to open automatically the "Arch Scan" for the model digitization :

2 - Scan the model with the "Arch Scan" station if you need to scan the model, or in "Scan import", drag the order to the main window and select the "Arch Scan File" by clicking on the file icon, choose the scan file and valid with "Open":

3 - When the file appears, validate it by clicking on "OK" :

4 - After completing the preparation steps in the "Scan import" the order will be in the "Partial Design", at first control the axis (modify them if necessary with the yellow dots to rotate the model) and validate with "OK":

5 - When the computation of the undercut is finished, select the "Design partial" icon :

6 - And in the "Partial design tools" that opens, select the "Grid" choose your "Grid Options" and click to place points on the model, or just freely draw with the mouse left-click down. Close the area by pressing the "C" on the keyboard. Then you can edit your perimeter, when is finished, click on "Create" and validate with "OK":
7 - Now you can add a handle on the Custom tray (if it is installed in the software please follow this link for consult the document about "How to create an attachment kit for handle of a Custom tray": https://dwos.helpscoutdocs.com/article/832-cad-how-to-import-an-handles-for-custom-tray?preview=621f24bfaca5bb2b753c7dfa), with " Attachment Items" and "Add Attachment Items" :

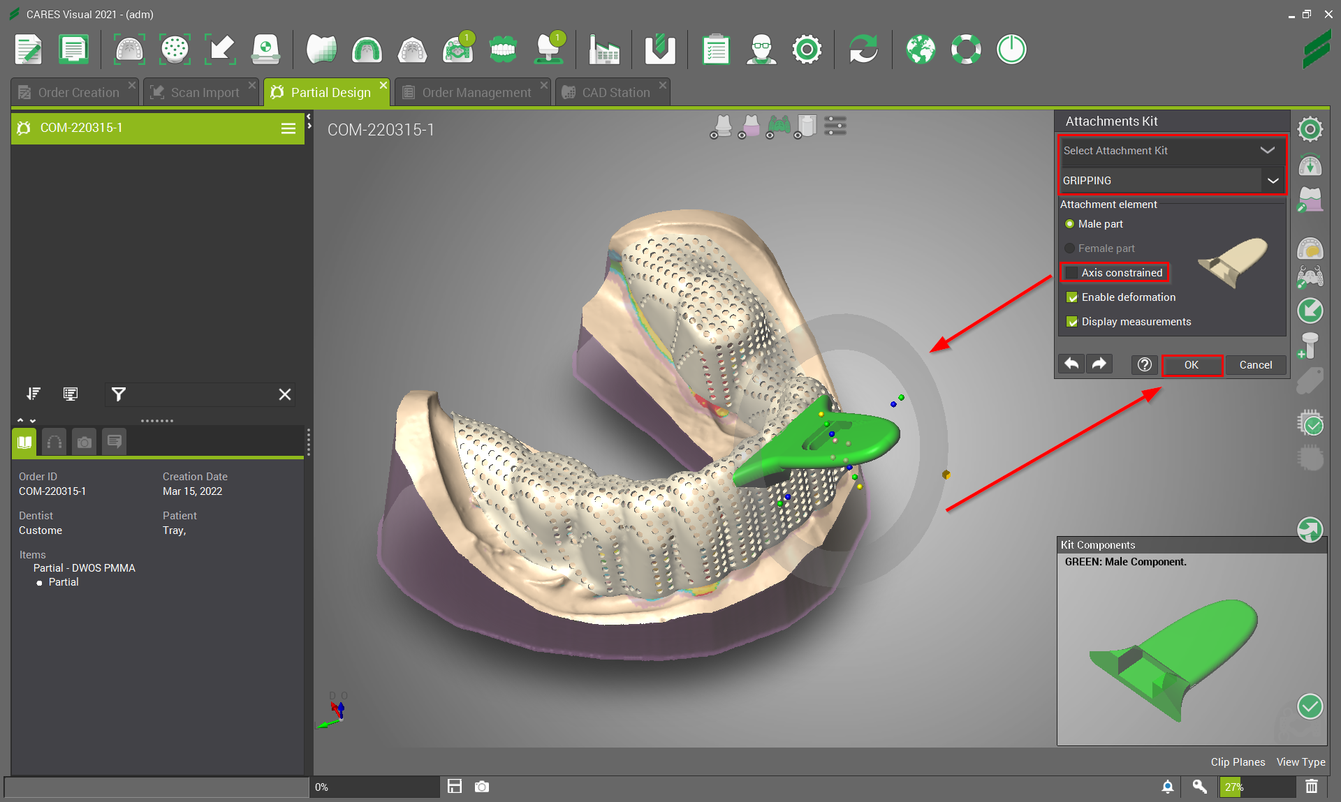
8 - When the "Attachments Kit" window opens, select the attachment kit corresponding to a handle and place it on the design of the Custom tray, you can place the handle in the desired position thanks to the dots, it is necessary to uncheck the box "Axis constrained" to be able to modify the axis, and when the placement was finished validate with "OK" :

9 - Now that the computation is completed, you can validate and merge the design :

For more details you can follow this link https://dentalwings.com/training/#Tips-&-Tricks to see the design video of "Designing Custom trays with Partial Module" on the training platform.